Angela O’Neill, a Therapeutic Radiographer in Queens University Belfast and the Northern Ireland Cancer Centre has been awarded an HSC R&D Doctoral Research Fellowship in the area of Imaging and Prostate Cancer.
Prostate Cancer is the most common cancer in men in the UK with around 1000 men diagnosed in Northern Ireland each year.
Radiotherapy is an effective treatment for prostate cancer and so many men receive radiotherapy as part of their treatment. For the radiotherapy to be most effective it is important that the doctor knows the precise position of the prostate during the treatment. A standard approach to ensuring this is to insert “markers” into the prostate which can then be seen during treatment so that the radiotherapy treats exactly the correct area. Unfortunately the surgery needed to place these markers can sometimes cause pain, bleeding and infection.
Angela’s research study will look at whether it is possible to use different images of the prostate, which show naturally occurring changes, to precisely locate the prostate and use this to plan the treatment. If this works it will benefit patients by reducing the need for a surgical procedure while ensuring maximum treatment accuracy.
As part of the Fellowship, Angela will also undertake an excellent research training program which will establish expertise in the area of research radiography.
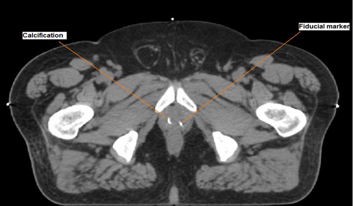
FIG 1. Image of the prostate showing surgically implanted marker and naturally occurring calcifications. The research aims to use a clinical trial to determine if the naturally occurring calcifications in the prostate can be used to effectively guide radiotherapy treatment and if this could be introduced into clinical practice.

FIG 2. Angela receiving the Society of Radiographers NI Radiographer of the Year Award at the House of Commons from Harpal Kumar CEO of Cancer Research UK in November 2014.


